Wednesday, December 8, 2021

Atypical Lymphocytes - Atypical lymphocytes - virally activated lymphs. Actually, I think the designation of atypical ... - Advertising on our site helps support our mission.

Atypical Lymphocytes - Atypical lymphocytes - virally activated lymphs. Actually, I think the designation of atypical ... - Advertising on our site helps support our mission.. Red blood cells surrounding this lymphocyte leave an indentation on the contour of the cell. Atypical lymphocytes have been observed in the peripheral blood of patients in a large number of clinical situations, including immune reactions to transplantation and immunization, collagen diseases and other autoimmune disorders, malignant disease, drug reactions, and infectious mononucleosis, as well as other bacterial and viral infections. They are similar in shape and size to the nucleus, the cytoplasm. In adults is between 1,000 and 4,800 lymphocytes in 1 microliter (µl) of blood. Also referred to as reactive lymphocytes, atypical lymphocytes are larger in size with a diameter of more than 30 microns.

9/l), a hemoglobin level of 12.3 g/dl (123 g/l), a hematocrit of 34%, a mean corpuscular volume of 101 fl, a mean corpuscular hemoglobin of (2) develop an automatic system to recognise them in an objective way and (3) study their immunophenotype. Lymphocytes often become atypical in response to an infection by bacteria or a virus. They can also become atypical from a large invasion of other antigens, such as allergens or fungi. Nucleoli and azurophilic granules may be present.

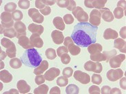
Atypical lymphocytes in blood
Atypical lymphocytes in blood from imagebank.hematology.org
They can also become atypical from a large invasion of other antigens, such as allergens or fungi. The atypical lymphocyte has more cytoplasm and thus grows larger in size than. Atypical lymphocytes have been observed in the peripheral blood of patients in a large number of clinical situations, including immune reactions to transplantation and immunization, collagen diseases and other autoimmune disorders, malignant disease, drug reactions, and infectious mononucleosis, as well as other bacterial and viral infections. They are found in the blood for various viral diseases (rubella, influenza, measles, chicken pox), autoimmune diseases, allergic reactions, vaccination and various tumors. Even normal aging can make cells appear abnormal. Each type of white blood cell has a different role in helping the immune system fight off antigens. Larry ray palmer viruses can trigger abnormally large white blood cells, or atypical lymphocytes. Leukocytic maturation csw lsuhsc 2002.

Also referred to as reactive lymphocytes, atypical lymphocytes are larger in size with a diameter of more than 30 microns.

Red blood cells surrounding this lymphocyte leave an indentation on the contour of the cell. In normal man 12 per cent or less (mean 7.5 per cent) of the mononuclear cells are atypical lymphocytes. They are the white blood cells that play an important part in our immune system. Atypical lymphocytes have been observed in the peripheral blood of patients in a large number of clinical situations, including immune reactions to transplantation and immunization, collagen diseases and other autoimmune disorders, malignant disease, drug reactions, and infectious mononucleosis, as well as other bacterial and viral infections. Even normal aging can make cells appear abnormal. Though there are nucleoli present in this atypical lymphocyte, it does not necessarily mean that this is a. The atypical lymphocyte is a normal constituent of the human peripheral blood. They can also become atypical from a large invasion of other antigens, such as allergens or fungi. In children, the normal range is between 3,000 and 9,500 lymphocytes. No agreement was seen with the other 49 images van der meer, w. Most people are infected by the virus as children, when the disease produces lit A few atypical lymphocytes are probably of little clinical significance. Lymphocytes are part of your immune system and work to fight off infections.

They are the white blood cells that play an important part in our immune system. Lymphocytes often become atypical in response to an infection by bacteria or a virus. The divergent morphological classification of variant lymphocytes in blood smears. Leukocytic maturation csw lsuhsc 2002. Nucleoli and azurophilic granules may be present.

Infectious mononucleosis
Infectious mononucleosis from imagebank.hematology.org
Even normal aging can make cells appear abnormal. The atypical lymphocyte has more cytoplasm and thus grows larger in size than. In what is defined as probable atypical lymphocytosis 13 to 19 per cent of the mononuclear cells are atypical lymphocytes. Larry ray palmer viruses can trigger abnormally large white blood cells, or atypical lymphocytes. Lymphocytosis is the term used to describe when white blood cells, particularly lymphocytes, are elevated. This type of cells can be round, indented, elliptical or even folded. In normal man 12 per cent or less (mean 7.5 per cent) of the mononuclear cells are atypical lymphocytes. Infectious mononucleosis (im), is also known as mono, kissing disease, or glandular fever.

In adults is between 1,000 and 4,800 lymphocytes in 1 microliter (µl) of blood.

Atypical lymphocytes have been observed in the peripheral blood of patients in a large number of clinical situations, including immune reactions to transplantation and immunization, collagen diseases and other autoimmune disorders, malignant disease, drug reactions, and infectious mononucleosis, as well as other bacterial and viral infections. The presence of an atypical lymphocyte, otherwise referred to as a reactive lymphocyte or an atypical white blood cell, in the bloodstream is an indicator of antigen stimulation or immune system activation in the body. Larry ray palmer viruses can trigger abnormally large white blood cells, or atypical lymphocytes. Infectious mononucleosis (im), is also known as mono, kissing disease, or glandular fever. Lymphocytes are part of your immune system and work to fight off infections. Atypical lymphocytes can be defined as those lymphocytes that are larger than normal and respond superiorly to antigen exposure. Leukocytic maturation csw lsuhsc 2002. Each type of white blood cell has a different role in helping the immune system fight off antigens. They are the white blood cells that play an important part in our immune system. The large size of the lymphocytes is attributed to antigen stimulation. Lymphocytes often become atypical in response to an infection by bacteria or a virus. Because infants and children are building their repertoire of antibodies through exposure to a large variety of antigens, it would not be unusual to observe a small number of atypical lymphocytes in a child's peripheral blood. Nucleoli and azurophilic granules may be present.

The atypical lymphocyte is a normal constituent of the human peripheral blood. The cytoplasm is often abundant and can be basophilic. The large size of the lymphocytes is attributed to antigen stimulation. They can also become atypical from a large invasion of other antigens, such as allergens or fungi. Atypical lymphocytes are proven below.

Atypical Lymphocyte - 1.
Atypical Lymphocyte - 1. from imagebank.hematology.org
In adults is between 1,000 and 4,800 lymphocytes in 1 microliter (µl) of blood. No agreement was seen with the other 49 images van der meer, w. Atypical lymphocytes is also known as the reactive lymphocytes in the medical industry. The nucleus of a reactive lymphocyte can be round, elliptic, indented, cleft, or folded. 9/l), a hemoglobin level of 12.3 g/dl (123 g/l), a hematocrit of 34%, a mean corpuscular volume of 101 fl, a mean corpuscular hemoglobin of A few atypical lymphocytes are probably of little clinical significance. Nucleoli and azurophilic granules may be present. They are found in the blood for various viral diseases (rubella, influenza, measles, chicken pox), autoimmune diseases, allergic reactions, vaccination and various tumors.

Because infants and children are building their repertoire of antibodies through exposure to a large variety of antigens, it would not be unusual to observe a small number of atypical lymphocytes in a child's peripheral blood.

Each type of white blood cell has a different role in helping the immune system fight off antigens. Lymphocytosis is the term used to describe when white blood cells, particularly lymphocytes, are elevated. In general, the size of the lymphocytes is more than 30 microns. Lymphocytes are a type of white blood cell (leukocyte) involved in the immune response. Blasts blasts are the earliest leukocytic precursor that can be seen in peripheral blood. Atypical cells can change back to normal cells if the underlying cause is removed or resolved. Atypical lymphocytes may be present in normal, healthy adults (6% to 12%) and at slightly higher numbers in children. (2) develop an automatic system to recognise them in an objective way and (3) study their immunophenotype. Atypical lymphocytes can be defined as those lymphocytes that are larger than normal and respond superiorly to antigen exposure. Even normal aging can make cells appear abnormal. A few atypical lymphocytes are probably of little clinical significance. Many factors can make normal cells appear atypical, including inflammation and infection. Red blood cells surrounding this lymphocyte leave an indentation on the contour of the cell.

The amount of cytoplasm is similar between the two cells, but the atypical lymphocyte has a deeper blue shading at the edge of the cytoplasm atypical. They can also become atypical from a large invasion of other antigens, such as allergens or fungi.

No comments:

Post a Comment

Dalic : Fit-again Croatia ready for seismic event, says coach ...

Dalic : Fit-again Croatia ready for seismic event, says coach ... . Update information for zlatko dalic ». 11,150 likes · 5 talking about th...